O sarampo é uma infeção viral altamente contagiosa. Pode atingir todas as pessoas, mas é mais comum em crianças dos 2 aos 10 anos. Tem o seu pico no final do inverno e princípio da primavera. A doença é caracterizada por febre, tosse, conjuntivite, manchas de Köplick na mucosa bucal e rash cutâneo.
O sarampo é causado por um paramixovírus, sendo o Homem o único reservatório conhecido . É extremamente contagioso.
O modo de transmissão faz-se por contágio direto com o doente, através do ar, por gotículas de saliva contaminadas e disseminadas pela tosse e espirros. Também pode ser feita através de objetos contaminados pela saliva e secreções nasais. O vírus sobrevive até 2 horas em certos ambientes fechados.
A infeção confere imunidade vitalícia.
A doença evolui em quatro fases distintas:
1ª- Período de incubação
Com uma duração de 10 a 12 dias e sem sintomas específicos, termina com o aparecimento de boca vermelha e conjuntivite.
2ª- Período de invasão catarral ou prodrómico
Ao décimo dia, aparece a febre elevada, atingindo 40ºC, a inflamação dos olhos, do nariz e da garganta e o
aparecimento das manchas de Köplick (pintas brancas com aréola vermelha na mucosa oral), 3 a 4 dias depois.
Vários sintomas se manifestam nesta fase: o lacrimejo, o catarro nasal e faríngeo, a rouquidão, os olhos vermelhos com fotofobia,
a tosse seca e, por vezes, a diarreia. Mal-estar geral, dores musculares e cefaleias são sintomas comuns a outras viroses.
É nesta fase que o risco de contágio é maior.
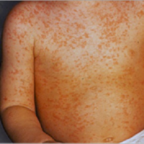
3ª- Período exantemático
Decorridos 3 a 5 dias do aparecimento dos primeiros sintomas, aparece o exantema típico. As manchas cor-de-rosa escuro iniciam atrás das orelhas e do pescoço e vão alastrando para o rosto, tronco e membros. As máculas poderão originar pápulas. A inflamação ocular, nasal e bucal acentua-se.
4ª- Período de descamação
Passados 3 a 5 dias, os sintomas atenuam-se de maneira rápida e as manchas ficam acastanhadas e começam a descamar.
Nem todas as formas de sarampo evoluem da mesma forma. Por vezes, poderá não aparecer a fase exantemática. De uma maneira geral, o sarampo enfraquece o organismo, tornando-o vulnerável a outras infeções.
As complicações incluem:
O diagnóstico é feito através do quadro clínico, principalmente pelas manchas de Köplick. Como os sintomas se confundem com os de outras doenças, é necessário, por vezes, o diagnóstico diferencial. O diagnóstico diferencial inclui rubéola, escarlatina, rashes cutâneos causados por medicamentos, doença do soro, roséola do lactente, mononucleose infeciosa, eritema infeccioso, etc.

O diagnóstico laboratorial raramente é realizado, apenas por razões de saúde pública em caso de epidemia. Este é feito através de:
Diagnóstico diferencial:
A rubéola distingue-se do sarampo pela ausência de um pródromo, ausência ou febre mais baixa e outros sintomas,
aumento dos linfonodos retroauriculares e suboccipital e menor tempo de duração.
Os rashes cutâneos causados por medicamentos não
têm pródromo, não há progressão do exantema, não há tosse e há história da toma recente de medicamentos.
A roséola do lactente é muito parecida com o sarampo, mas não se manifesta em crianças com mais de 3 anos. Não se verificam as
manchas de Köplick e o mal-estar. O rash cutâneo aparece ao mesmo tempo que outros sintomas.
A prevenção é feita com base na vacinação. É uma vacina de vírus vivos atenuados, sendo dada em conjunto com a da papeira e da rubéola (VASP). É administrada a primeira dose aos 12 meses e a segunda aos 5 anos. Depois de administrada, a vacina poderá originar o aparecimento de uma reação não contagiosa caracterizada por febre, exantema e manchas de Köplick. A vacina promove imunidade duradoura.
A vacinação contra o sarampo está contra-indicada quando há imunodeficiência ou terapia com imunossupressores, por ser uma vacina feita com vírus vivo atenuado. Também está contra-indicada em caso de doença febril grave, tuberculose , doenças pulmonares e na gravidez.
O tratamento é sintomático, associado, às vezes, a uma prevenção com antibióticos para as complicações. Os principais tratamentos são antipiréticos (Paracetamol), sedativos e a ingestão de líquidos.
Em crianças pequenas, a suplementação com vitamina A reduziu a morbilidade e a mortalidade em países em desenvolvimento, pelo que está recomendada a sua administração.
Não há necessidade de manter os doentes em quartos escuros. No entanto, a luz intensa pode irritar os olhos, devido à fotossensibilidade.